Alt du trenger å vite om tannregulering
Lurer du på om du trenger tannregulering eller er usikker på om du kan ha usynlig regulering? Finn svaret i vår guide.

Tannregulering, en gang betraktet som utelukkende for tenåringer, er nå en effektiv og vanlig løsning for personer i alle aldre som ønsker å korrigere tannstilling, bittavvik eller av estetiske grunner ønsker å rette opp tennene og smilet.
Fra tradisjonelle metallklosser til moderne, usynlige skinner som Invisalign, Clear Correct og Spark, tilbyr dagens regulering et bredt spekter av muligheter for pasienter, i alle aldre. Enten du vurderer regulering for deg selv eller ditt barn, eller bare ønsker å lære mer om emnet, finner du alt du trenger å vite for å kunne ta informerte beslutninger om riktig behandling for din tannhelse (og tannstilling).
Hva gjør tannregulering og hvordan fungerer det?
Ulike typer tannregulering fungerer på litt ulike måter, men prinsippet er uansett det samme. Tannregulering påfører gradvis press på tennene og deres omkringliggende benstruktur. En tann vil bevege seg ca. en millimeter per måned under behandlingen, men det er individuelle forskjeller hos pasienter.
Presset bidrar til å flytte tennene til ønsket posisjon over tid. Dette skjer fordi beinvevet rundt tennene reagerer på trykket ved å bryte ned på den ene siden og bygge opp nytt bein på den andre siden av tannen. Dette gjør det mulig for tannreguleringen å korrigere ulikheter i tannstillingen og forbedre bittet.
Annlaug Stensland, spesialist i kjeveortopedi hos Oris Dental.
Hvem trenger tannregulering?
Feil i tannstilling eller bittanomali (feil i bitt) vil i mange tilfeller føre til behov for behandling med tannregulering. Over tid kan problemer med bitt- eller tannstilling føre til slitasje av tenner, økt forekomst av karies eller tannkjøttsykdom, tyggeproblemer, talefeil eller smerter i kjeven.
Det kan også være estetiske hensyn som fører til ønske eller behov for behandling, som for eksempel korrigering av store mellomrom.
– For å fastslå om tannregulering er nødvendig, vil en tannlege med spesialisering i kjeveortopedi gjøre en grundig undersøkelse av tannstilling og bitt, og deretter anbefale passende behandlingsalternativer. Vi tar alltid spesielt hensyn til den enkelte pasients behov og prøver å tilpasse behandlingen best mulig etter deres ønsker, forsikrer Stensland.
Ulike bitt og bittanomalier
Bittanomalier er avvik i måten tennene passer sammen på når kjeven er i hvileposisjon eller under tygging. Noen vanlige typer bittanomalier inkluderer:
Overbitt: Overkjevens tenner biter for langt ut i forhold til underkjeven. Dette kan øke risikoen for slitasje og for å slå ut fortenner.
Underbitt: Underkjevens tenner biter for langt ut i forhold til overkjeven. Her må man skyve undertennene frem for å bite skikkelig med sidetennene. Ved større underbitt kan det bli nødvendig med kjeveoperasjon.
Kryssbitt/Saksebitt: Tannbuen i over- eller underkjeven er for smal i forhold til tannbuen i motsatt kjeve.
Åpent bitt: Manglende kontakt mellom tenner i over- og underkjeven når munnen er lukket. Denne bittanomalien trenger ikke å være skadelig, men behandles for å få en bedre bittfunksjon i front.
Dypt bitt: Fortennene i overkjeven skjuler fortennene i underkjeven ved sambitt, Det kan føre til at fortennene i begge kjever kan gnage på hverandres tannkjøtt og dermed skape infeksjoner.
Det er viktig å behandle bittanomalier for å forhindre komplikasjoner som tyggevansker, tannslitasje, kjeveleddsmerter og estetiske problemer.
Annlaug Stensland, spesialist i kjeveortopedi hos Oris Dental.
Hva er de vanligste feilene som fører til regulering?
De vanligste bitt- og tannstillingsfeilene som fører til behov for kjeveortopedisk behandling, i rangert rekkefølge:
- Overbitt
- Underbitt
- Åpent bitt
- Dypt bitt
- Kryssbitt/saksebitt
- Trangstilling (tenner står hulter til bulter)
- Agenesi (manglende tenner)
Kilde: NKF, kjeveortopedisk forening
Hva skjer på en konsultasjon med reguleringstannlege?
En konsultasjon er et uforpliktende møte mellom deg og kjeveortopeden (som er et annet navn på reguleringstannlege). Tannlegen gjør en grundig undersøkelse av tenner, bitt og funksjon. Det tas da bilder, røntgen og det gjøres ofte en 3D-simulering av tennene dine, der du får se hva som er mulig å se hva en kan oppnå med behandlingen. Noen ganger tas det også en gipsavstøpning av tennene for å kunne lage en optimal behandlingsplan.
– Sammen diskuterer dere nødvendigheten for behandling og fordeler og ulemper med de ulike behandlingsalternativene. Du vil få informasjon om hva slags resultat du kan forvente, tentativ pris og forespeilet et behandlingsforløp. Det er viktig at du stiller alle spørsmål du har. Ingen spørsmål er for dumme, bedyrer Stensland.
Dersom du ønsker å gå videre med behandling, settes det opp en time for grundig gjennomgang av behandlingsplan og behandlingskontrakt. Når begge parter har signert kontrakten, kan behandlingen starte.
Bestill en konsultasjon hos Oris Dental i dag!
Ulike typer regulering
Det finnes flere ulike behandlingsmetoder innenfor kjeveortopedi. Hos Oris Dental tilbyr vi alle de vanlige og mest populære behandlingsformene.
Tradisjonell regulering med metallbraketter
Dette har lenge vært den mest brukte reguleringen, spesielt for barn og ungdom, og den består av små metallbraketter og en metallstreng som festes fast på forsiden av tennene. Behandlingstiden med tradisjonell regulering er ofte mellom 1,5 og 2 år, men behandlingstiden avhenger av den enkeltes behandlingsbehov og hvor omfattende og komplisert behandlingen er.
Tradisjonell regulering med metallbraketter er den mest robuste varianten og metoden kan behandle de aller fleste bitt- og tannstillingsfeil. Dette er i tillegg den rimeligste fastmonterte reguleringen.

Tradisjonell regulering med keramiske braketter
Keramisk regulering består av samme komponenter og festes på samme måte som tradisjonell regulering med metallbraketter. Eneste forskjell er at brakettene som benyttes her er litt større og laget av hvit/gjennomsiktig glasskeramikk. Dette gjør reguleringen mindre synlig, men keramiske braketter er også noe mer kostbare. For å redusere totalprisen kan keramiske braketter kombineres med bruk av metallbraketter på mindre synlige plasseringer, som for eksempel i underkjeven eller på jeksler.

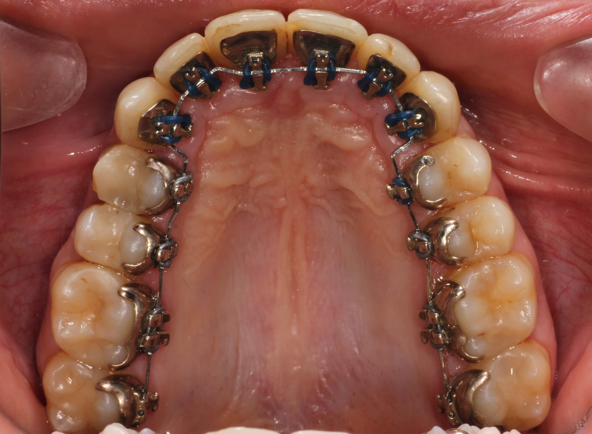
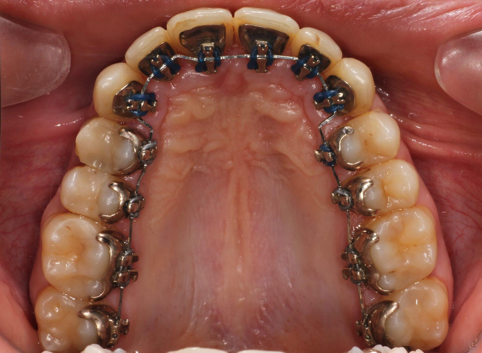
Lingual regulering
Lingual tannregulering som Incognito er den mest usynlige formen for tannregulering. Her festes metallstreng med braketter i metall på baksiden av tennene. Dette er en avansert form for kjeveortopedisk behandling som krever spesiell tilpasning, da tennene på baksiden har mindre overflate og mer kompleks form. Brakettene må spesiallages til hver enkelt og metoden er derfor mer kostbar enn regulering som festes foran på tennene. Regulering på innsiden av tennene kan også i noen tilfeller påvirke talen, særlig den første behandlingstiden.
Metoden benyttes av både ungdom og voksne og kan i de fleste tilfeller behandle de vanligste bittanomaliene.

Usynlig tannregulering
Usynlig tannregulering i form av gjennomsiktige, avtagbare plastskinner har blitt en veldig populær behandlingsmetode blant unge voksne og voksne av flere årsaker:
- Skinnene er gjennomsiktige og lite synlige
- Behandlingstiden er ofte kortere
- Lettere å rengjøre tennene
- Mindre ubehag
Skinnene skal sitte på minst 22 timer i døgnet og bør kun tas ut når man spiser, rengjør tennene eller drikker annet enn vann.
Usynlig tannregulering kan behandle trangstilte tenner, for stort mellomrom, kryssbitt, underbitt og dypt bitt, men er ikke anbefalt for voksne med stort overbitt.
Hos Oris Dental tilbyr vi behandling med usynlig regulering fra Invisalign, Clear Correct og Spark.

Når er det vanlig å få tannregulering?
Det er vanlig å få tannregulering i barndommen eller tenårene. Dette skyldes at denne perioden er ideell for å korrigere tann- og bittanomalier mens tennene og kjeven fortsatt er i vekst, noe som gjør det lettere å flytte dem til ønsket posisjon.
Tannregulering kan også være aktuelt for voksne som ønsker å forbedre smilet, har tenner som har flyttet på seg eller har en tidligere ubehandlet tannstillingsfeil. Behandlingen kan tilpasses for alle aldre, men det er viktig å oppsøke en kjeveortoped for en vurdering av individuelle behov og passende behandlingsalternativer.
Regulering for barn
De fleste barn som behandles med tradisjonell tannregulering er mellom 10 og 13 år. Ved problemer med tannfelling og tannfrembrudd som i stor grad kan påvirke de permanente tennene, kan det bli nødvendig med behandling fra så tidlig som 7 til 9 års alder.
For barn kan det noen ganger være snakk om behandling i 2 faser, med en mindre runde tidlig og en ny runde når alle tennene har kommet fram. Denne innledende behandlingen kan korrigere enten på tannstillingen eller kjevens vekst.
Det har de siste årene blitt vanligere å velge behandling med usynlig regulering også for barn. Teknologien har utviklet seg og vi kan oppnå flotte resultater på kortere tid, med mindre synlig regulering og mindre ubehag. Så lenge barnet er tilstrekkelig motivert til å bruke skinnene i minimum 22 timer i døgnet, kan usynlig regulering vurderes dersom bitt- eller tannstillingsfeilen lar seg behandle med metoden.
Hvert enkelt barn blir vurdert av en spesialist, og det legges opp tilpasset behandlingsløp til det enkelte barnet. Man vil da også få anslått forventet behandlingstid.
Les mer om regulering for barn her.
Regulering for voksen
Tennene flytter på seg hele livet og kan flyttes på med tannregulering også hos voksne. Derfor er det ingen aldersgrense for når det kan være aktuelt og riktig med behandling med tannregulering.
Behandling med tannregulering hos voksne kan bli nødvendig av flere årsaker:
- Tidligere ubehandlet bittfeil.
- Tenner som har flyttet seg, for eksempel på grunn av tannkjøttsykdom.
- Tap av tenner eller stor tannslitasje. Her kan det være nødvendig med tannregulering før tenner skal erstattes med kroner/broer/implantater eller bygges opp igjen.
Felles for mange voksne mennesker som har vurdert korrigerende tannbehandling, er at de ofte utsetter behandlingen for lenge og kvier seg for bruk av tannregulering av estetiske årsaker.
– Blant voksne pasienter har det blitt svært populært og mer og mer vanlig å benytte usynlig tannregulering for problemer som lar seg behandle med denne metoden. Ikke bare er det en veldig diskret behandling, den har også ofte kortere behandlingstid, sier Stensland.
Les mer om regulering for voksne her.
Behandlingstid tannregulering
Vanligvis vil en kjeveortopedisk behandling med tradisjonell regulering ta inntil 1,5 til 3 år.
Vi prøver alltid å begrense behandlingstiden mest mulig, samtidig som vi er nøye på å ikke avslutte behandlingen før vi har oppnådd et optimalt resultat.
– Usynlig regulering har oftere kortere behandlingstid. En gjennomsnittlig behandling tar ofte rundt 6-8 mnd. Enkle og små tannforflytninger kan ta kortere tid, ca. 3-4 mnd. Mer omfattende eller kompliserte tilfeller kan ta opptil flere år, informerer Stensland.
Gjør det vondt å sette på regulering?
Det gjør vanligvis ikke vondt å sette på reguleringen, men noen synes det kan være ubehagelig å ha munnen åpen i perioden det tar for tannlegen å sette på reguleringen.
Det tar ca 30-40 minutter å sette på tannreguleringen i en kjeve. Dersom det settes på apparatur (braketter og strenger) i begge kjever samtidig, tar dette totalt ca. 60 min.
Av og til kan det være nødvendig å trekke en tann eller to før reguleringen settes på. Hvis dette er tilfelle hos deg, vil du få bedøvelse i forkant, slik at du ikke skal kjenne ubehag under inngrepet.

Alt du trenger å vite om tannregulering
Fra første konsultasjon til ferdig resultat – vi guider deg trygt gjennom hele reisen. Lær mer om usynlig regulering, hva som skjer underveis, og hvilke muligheter du har som barn, ungdom eller voksen.
Tilvenningstid: Gjør regulering vondt i starten?
Den første uken etter at reguleringen er satt på kan du oppleve at tennene føles ømme. Dette er en normal reaksjon når tennene begynner å bevege seg og det tar ofte litt tid å venne seg til at reguleringen er der.
Tilvenningstiden vil variere basert på den individuelle behandlingen, metoden og graden av justering som kreves.
Ved tradisjonell metallregulering kan det ta en uke eller to å venne seg til følelsen av brakettene og metallstrengene i munnen. Noen kan oppleve litt ubehag eller irritasjon i begynnelsen.
Plasseringen på baksiden av tennene gjør at lingual regulering (Incognito) krever noe ekstra tilpasningstid på grunn av hyppig kontakt med tungen.
Den usynlige reguleringen oppleves for mange mer behagelig fra starten av, men noen kan oppleve litt ubehag i begynnelsen når de tilpasser seg bruken av skinnene på tennene. I tillegg vil hver utskifting av skinnesett øke presset på tennene, som vil gi ømme tenner de første dagene med nytt sett.
Hva skjer etter jeg har fått på regulering?
Når reguleringen er på plass, begynner en ny fase i behandlingen din. Det er viktig å forstå hva som skjer etter at reguleringen er festet, slik at du kan ta vare på tennene dine på best mulig måte og sikre at behandlingen gir optimale resultater.
Justering og tilpasning:
Umiddelbart etter at reguleringen er festet, kan du forvente en periode med ømhet eller ubehag mens tennene og kjevene tilpasser seg den nye belastningen. Tannlegen din vil sannsynligvis gi deg noen tips for smertelindring og råd om hvordan du best kan tilpasse deg din nye tannregulering.
Regelmessige kontroller:
Etter at reguleringen er på plass, må du møte opp på regelmessige kontroller hos tannlegen din. Disse kontrollene er viktige for å overvåke resultater, foreta nødvendige justeringer og sikre at behandlingen går som planlagt. Under disse kontrollene kan tannlegen også sjekke eventuelle problemer med reguleringen og gi råd om hvordan du rengjør og ivaretar tennene dine mellom besøkene.
Stell av regulering hjemme
Det er også viktig å opprettholde god munnhygiene hjemme mens du har regulering. Dette inkluderer regelmessig børsting og bruk av tanntråd og mellombørster for å fjerne matrester og plakk rundt reguleringen.
Under hele behandlingsperioden er det viktig å følge tannlegens råd og instruksjoner nøye. Dette kan inkludere spesifikke retningslinjer for børsting og tannhygiene, bruk av hjemmeapparatur som feks strikker, plate , samt eventuelle restriksjoner på mat eller aktiviteter som kan påvirke reguleringen.
Råd for riktig rengjøring avhenger av hva slags behandlingsmetode du har valgt: enten tradisjonell, fastmontert tannregulering eller regulering i form av avtagbare skinner.
Her har du noen raske tips:
Rengjøringstips for fastmontert regulering:
- Velg riktig tannbørste (lite bøsthode og myk bust) og bytt hver 3. mnd.
- Ikke puss for hardt!
- Bruk riktig verktøy, som solotannbørste og mellomtannbøste
- Puss ekstra grundig morgen og kveld og bruk tanntråd hver dag
- Puss tennene etter hvert måltid
- Følg tannlegens råd og spør tannlegen din om du er usikker.
Rengjøringstips for usynlig tannregulering:
- Fjern reguleringen før måltider
- Puss tennene før du setter på reguleringen igjen.
- Puss skinnen med en myk tannbørste og vann daglig.
- Parfymefri såpe eller parfymefritt flytende oppvaskmiddel kan benyttes dersom det er vanskelig å få skinnene helt rene.
- OBS! Pussing av skinnene med tannkrem gjør skinnene matte og mer synlige.
- Følg tannlegens instruksjoner for bruk og rengjøring av din spesifikke type regulering/skinne.
Les mer om riktig tannpuss og rengjøring ved tannregulering her.
Enkle løsninger på 5 vanlige problemer med tannregulering
Å ha tannregulering kan føre til noen velkjente utfordringer som løse klosser, metalltråd som stikker i kinnet eller sår i munnen. Ofte er tipset å kontakte tannlegen for råd, men det er ikke alltid det er mulig eller nødvendig å få tannlegen på tråden umiddelbart.
Hva skjer etter behandlingen er ferdig?
Når behandlingen med regulering er fullført, går du inn i det som kalles retensjonsfasen. Dette er en avgjørende fase for å sikre at resultatene av behandlingen blir bevart på lang sikt.
Bruk av retenssjontråd og/eller skinne om natten
Etter at reguleringen er fjernet, vil tannlegen din vanligvis anbefale bruk av hjelpemidler for å forhindre at tennene flytter seg tilbake til opprinnelig posisjon. De vanligste hjelpemidlene er en plastskinne som brukes om natten og en fastmontert retensjonstråd på baksiden av tennene, ofte brukes begge. Den fastmonterte metalltråden kan oppleves uvant i starten, men med tiden vil du knapt merke at den er der. Et godt råd er å beholde metalltråden på baksiden av tennene så lenge som mulig for å hindre uønsket tannforflytning
Regelmessige kontroller hos tannlegen
Selv etter at reguleringen er fjernet, vil du fortsette å ha regelmessige kontroller med tannlegen din. Disse kontrollene er viktige for å overvåke stabiliteten til resultatene og for å sikre at tennene forblir i riktig posisjon over tid. Tannlegen vil evaluere effektiviteten av retensjonsutstyret og gjøre eventuelle nødvendige justeringer.
– Men følg med på bitt og tenner selv, skyter Stensland inn.
–Det er viktig å være oppmerksom på eventuelle endringer i tannstillingen eller bittet og å søke tannlegens hjelp hvis du oppdager noe uvanlig. Tidlig oppdagelse av problemer kan bidra til å forhindre tilbakefall og sikre at tennene forblir i ønsket posisjon, fortsetter hun.
Har du flere spørsmål om tannregulering?
Behandling med tannregulering er en betydelig investering, både økonomisk og personlig. Fra å korrigere bittavvik til å forbedre smil, kan regulering gi mennesker både smilet og livet tilbake.
Det er viktig å huske at hvert tilfelle er unikt, og at det beste alternativet for en person kan avhenge av en rekke faktorer, inkludert alder, budsjett, behandlingsbehov og personlige preferanser. Uansett hvilken type regulering du velger, er det viktig å huske på at tålmodighet og dedikasjon er nøkkelen til suksess.
Hos Oris Dental møter du kjeveortopeder, allmenn tannleger, tannpleiere og kirurger med lang erfaring innen korrigering av bitt. Kombinasjonen av dyktige, engasjerte, spesialiserte tannleger og utstyr av ypperste kvalitet er vår nøkkel til suksess.
Bestill en uforpliktende konsultasjon i dag og få den informasjonen du trenger for å komme i gang!
Hva koster tannregulering?
6 raske tips
- Vær tydelig overfor tannlegen på hva du ønsker og sørg for å stille alle spørsmålene du lurer på om behandling og resultat
- Hør på tannlegen! Bruk avtagbar regulering etter instruks og rengjør som anvist.
- Vær nøye med kostholdet mens du har regulering. Unngå sukkerholdig mat og småspising så godt du kan.
- Vær ekstra nøye med pussing og tannpleie.
- Vær forberedt på at du vil være øm i tennene de første dagene og når du justerer reguleringen hos tannlegen.
- Hold motivasjonen oppe! Ta for eksempel før- og etter-bilder


