Slik ble Marte (32) kvitt blottede tannhalser
Marte Haarberg (32) er en av mange som har fått tannkjøttet trukket tilbake. Nå ser Tannlege Anders Wangestad at etterspørselen etter å ordne på blottede tannhalser stadig øker – og spesielt blant unge kvinner.

Sist oppdatert 6. november 2025
Tannstellet har mye å si for tannkjøttet
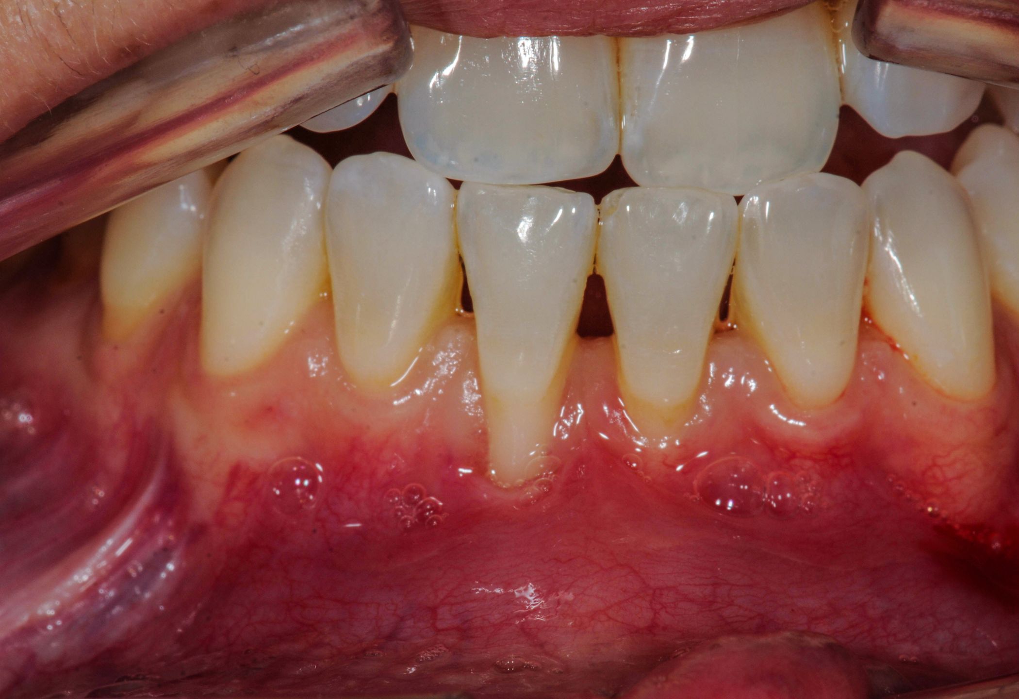
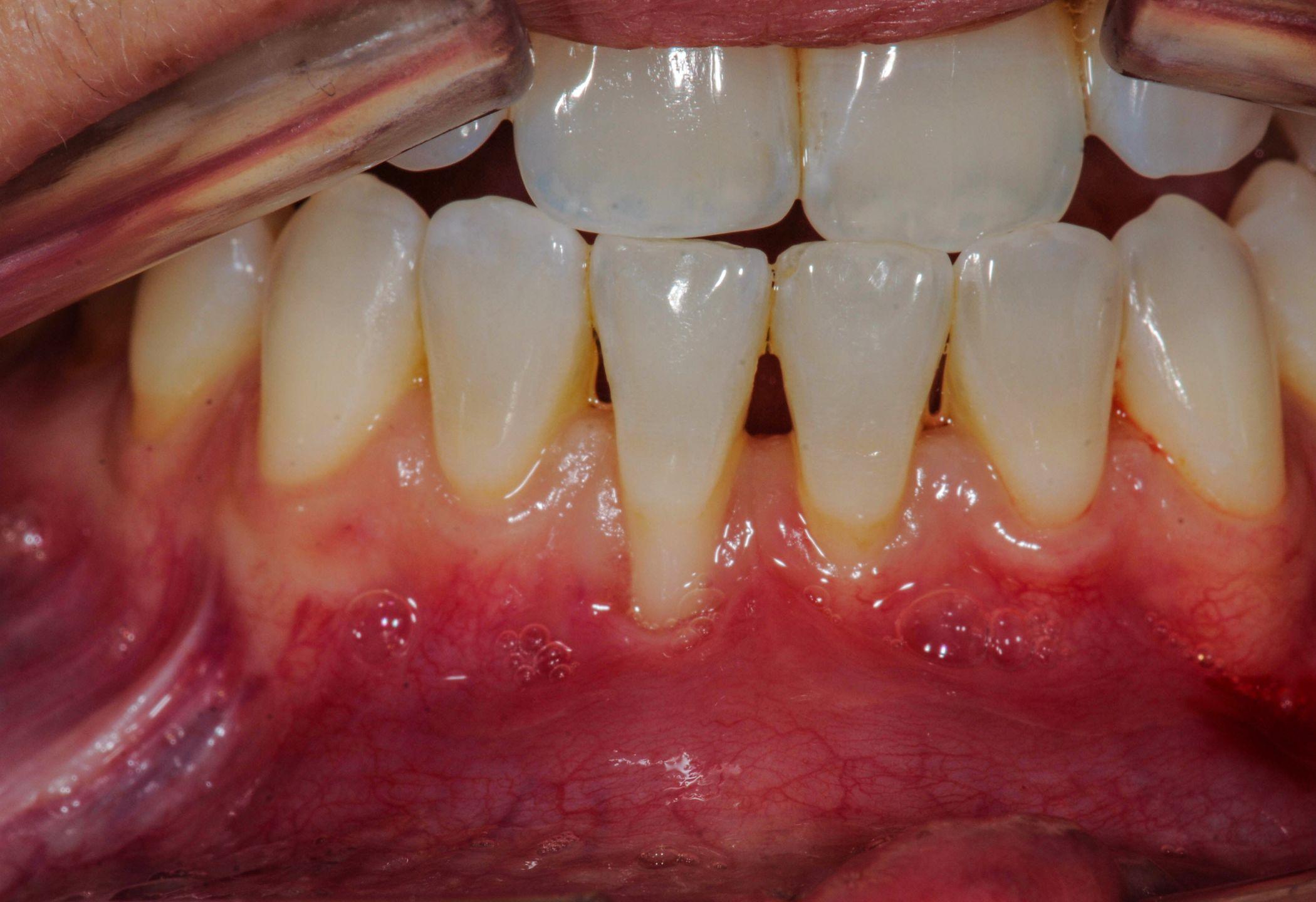
Hardhendt pussing, slipemidler i tannkremen eller bruk av for stiv tannbørste er blant årsakene til at folk får skade på tannkjøttet. Anders Wangestad ved Oris Dental Løkketangen i Bærum, har jobbet som implantatkirurg i en mannsalder. Han har i tillegg interessert seg for retraksjonskirurgi, og knytter også snusforbruk opp mot alvorlige tannkjøttskader.

Pusseskader og snus
En stor andel av nordmenn går rundt med snusleppe, som kan medføre at tannkjøttet i overkjeven blir grovt og rynkete. Dette kan igjen resulterer i lange tannhalser i det området hvor snusen legges – gjerne i kombinasjon med for hard pussing.
– Pusseskader på tannhalsen kan være alvorlig, og like alvorlig er det å se at stadig flere unge som snuser får blottede tannhalser. Dette krever både estetisk og funksjonell behandling, forteller Wangestad, som i dag utfører opp til flere slike operasjoner i uka.
– Spesielt unge kvinner synes det er sjenerende, og opererer gjerne tannkjøttet på grunn av det estetiske. Hvis man går for lenge med skadene uten å oppsøke tannlege, kan tannkjøttet miste mer feste. Det kan oppstå tannkjøttsykdom og hull på tannhalsen, advarer Wangestad.

Hadde skader etter tannregulering
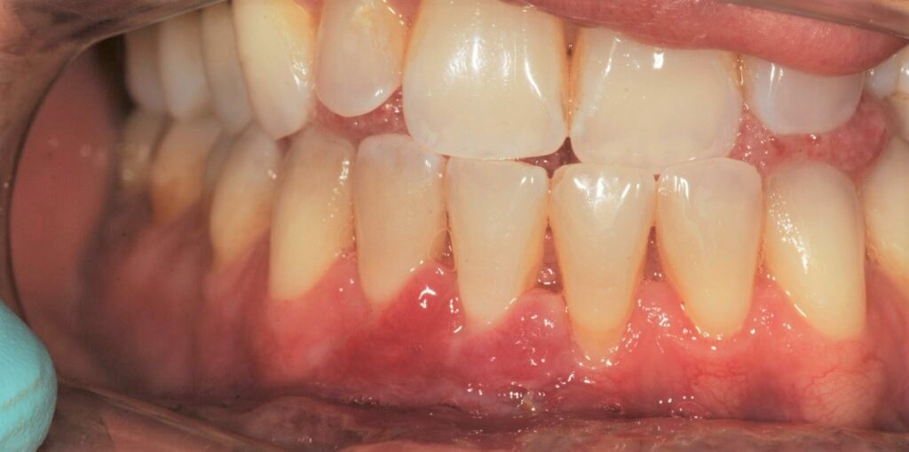
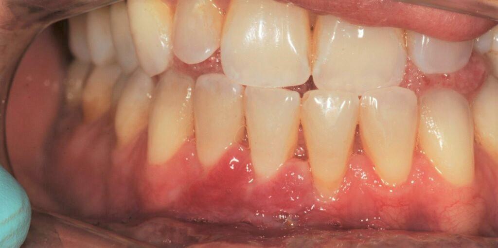
Marte Haarberg (32) fra Trondheim fikk skader på tannkjøttet i underkjeven etter bruk av tannregulering. Slike skader skjer når tennene kommer ut av posisjon under reguleringsprosessen, slik at tannkjøttet må reguleres i ettertid. Tidligere i år ble hun operert i underkjeven av Wangestad, en operasjon hun ikke angrer på at hun gjennomførte.
Verre å trekke visdomstenner
– Jeg forventet at det skulle være smertefullt, men fikk lokalbedøvelse og kjente ingenting under operasjonen. Det var mindre vondt enn da jeg trakk visdomstennene, forteller Haarberg.
I løpet av tre kvarter var tannkjøttet hennes trukket på plass. En uke senere satt hun kun igjen med tre sting, uten smerter.
For Marte var dette et helsemessig inngrep, da hun slet med betennelse i tannkjøttet og ising i tennene. Hun har også snust i mange år og vurderer etter hvert å operere overkjeven.
– Jeg kjenner mange som er interessert i en slik operasjon, spesielt etter de ble bevisst på at man faktisk kan gjøre noe med tannkjøtt som er dratt oppover. Jeg vurderer selv å korrigere tannkjøttet i overkjeven, forteller hun.



Ønsker minst mulig kirurgi
Det er viktig at det ikke blir arrdannelser etter en tannkjøttoperasjon. Wangestad er opptatt av at inngrepet skal inneholde minst mulig kirurgi, og bruker flere forskjellige teknikker, en av dem er det han kaller «konvolutt-metoden».
– Med «konvolutt-metoden» går vi inn og splitter muskulaturen i tannkjøttet i forskjellige lag, slik at det ikke blir noen muskeldrag i tannkjøttet som skal trekkes tilbake på plass. Det er viktig å sette muskulaturen ut av spill slik at ikke tannkjøttet glir tilbake igjen til den gamle posisjonen.
Problemfri behandling
Wangestad beskriver dette som en problemfri behandling, og inngrepet gjøres med individuell tilpasning. Komplikasjonen i etterkant vil være noe hevelse og moderate eller ingen smerter, og man trenger i utgangspunktet ingen sykemelding for å utføre operasjonen.
– Etter operasjonen medfølger en oppfølgingsplan for pasienten, som utføres av tannpleierne. Denne er viktig å følge for å unngå tilbakefall. Veldig mange har tilegnet seg vaner som en av grunnene til at de måtte ta operasjonen i utgangspunktet, så hvis de ikke endrer pusseteknikk, kan tannkjøttet trekke seg oppover igjen, sier tannlegen.
Viktig med faglig og etisk vurdering
Retraksjonskirurgi har i mange år vært vanlig i utlandet, og terskelen for en operasjon er mye lavere enn i Norge. Wangestad mener etterspørselen vil øke betraktelig i årene fremover.
– Det er viktig å ta en faglig og etisk vurdering om pasienten bør ta en operasjon eller ikke, spesielt i tilfeller der unge jenter kommer og vil korrigere noe som ikke er nødvendig. Om tannkjøttet har trukket seg tilbake 3-8 millimeter, så er det en god indikasjon til å gjennomføre en operasjon med godt resultat.
Hvor mye koster retraksjonskirurgi?
Wangestad opplyser at en slik operasjon koster mellom 5 000 – 10 000 kroner, og deler av dette dekkes av Helfo.

Retraksjonskirurgi
Foretrukket behandling av tilbaketrukket tannkjøtt er ofte et lite og smertefritt kirurgisk inngrep kalt retraksjonskirurgi, som gjennomføres ved lokalbedøvelse.



